Un nouveau modèle pour décrypter la différenciation des cellules multiciliées

Focus recherche Biologie cellulaire Développement, évolution

Les cellules multiciliées tapissent plusieurs de nos organes et jouent un rôle clé dans l’élimination du mucus, des particules et des agents pathogènes. Pourtant, la manière dont ces cellules spécialisées se forment reste encore mal comprise. Des scientifiques, dans un article publié dans Journal of Cell Biology, ont mis au point un nouveau modèle expérimental permettant d’observer, pas à pas, les premières étapes de leur différenciation chez le Xénope. Ce travail ouvre de nouvelles perspectives pour comprendre les ciliopathies.

Accéder aux premières étapes de la multiciliogenèse

Les cellules multiciliées (MCC) sont des cellules épithéliales spécialisées portant à leur surface un grand nombre de cils motiles. Elles jouent un rôle essentiel dans plusieurs organes chez l’Homme, notamment dans les voies respiratoires, où elles assurent l’évacuation du mucus et des agents pathogènes, mais aussi dans le cerveau et l’appareil reproducteur. Des défauts de formation ou de fonctionnement de ces cellules sont à l’origine de pathologies humaines regroupées sous le terme de ciliopathies.

Malgré leur importance physiologique, les mécanismes cellulaires et moléculaires qui contrôlent la différenciation des MCC restent encore mal compris. Cette lacune tient en grande partie à la difficulté d’accéder expérimentalement aux étapes initiales de ce programme, en particulier dans les tissus humains. Dans ce contexte, les scientifiques ont développé à partir de cellules de Xénope, un modèle expérimental original permettant d’induire de manière synchrone et contrôlée la multiciliogenèse. Ce système offre un accès inédit à la dynamique initiale de la différenciation multiciliée, notamment à l’amplification massive des centrioles, étape clé du processus.

CDK7, un régulateur conservé de l’engagement multicilié

Grâce à des approches protéomiques, l’étude, publiée dans la revue Journal of Cell Biology, met en évidence des mécanismes moléculaires mis en jeu lors de l’initiation de la multiciliogénèse et jusqu’ici peu caractérisés et identifie de nouveaux régulateurs du programme multicilié. Parmi eux, la kinase CDK7 apparaît comme un acteur central. Cette protéine, hautement conservée chez les eucaryotes et bien connue pour ses fonctions dans la régulation du cycle cellulaire et de la transcription, joue ici un rôle déterminant dans l’engagement de la différenciation multiciliée. Les résultats montrent que la fonction de CDK7 dans ce contexte est conservée entre les espèces, du Xénope à l’Homme, soulignant l’existence de mécanismes fondamentaux communs gouvernant la multiciliogenèse.

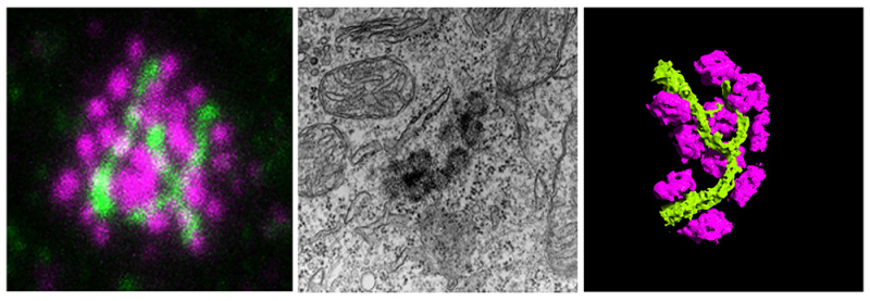
Une architecture originale du deutérosome chez le Xénope

Au-delà de l’identification de régulateurs moléculaires, ce travail apporte un éclairage inédit sur l’organisation du deutérosome, un organite clé impliqué dans l’amplification massive des centrioles au sein des MCC. Par des approches d’imagerie à haute résolution, les scientifiques décrivent chez le Xénope une architecture du deutérosome présentant des variations notables par rapport à celle observée dans d’autres cellules multiciliées.

Les mécanismes responsables de l’émergence de ces différences structurales, ainsi que leurs conséquences fonctionnelles sur la biogenèse des centrioles, restent à élucider. Ils constituent néanmoins des pistes majeures pour de futurs travaux visant à relier organisation subcellulaire, dynamique de différenciation et fonction des cils.

Des perspectives pour la compréhension des ciliopathies

Au-delà de son apport fondamental à la compréhension des mécanismes de la différentiation des MCC, ce modèle expérimental représente une plateforme pertinente pour la santé humaine. En identifiant des régulateurs conservés et en donnant accès aux étapes précoces de la multiciliogenèse, il ouvre la voie à une meilleure compréhension de l’origine moléculaire des ciliopathies et à l’exploration de nouvelles stratégies diagnostiques ou thérapeutiques ciblant les défauts précoces de la différenciation multiciliée.

© Boutin et al., 2026. Originally published in Journal of Cell Biology.

Figure : Organisation du deuterosome dans les MCC de Xenope. Une analyse approfondie à l'aide de la microscopie à expansion (à gauche), de la microscopie électronique à transmission (au milieu) et de la tomographie (à droite) révèle que les deuterosomes dans les MCC de Xénope sont constitués de sphères individuelles chargées de 2 à 3 centrioles, le plus souvent organisées en chaînes de longueur variable, qui peuvent se croiser et former des structures globulaires plus grandes.

En savoir plus : Boutin C*, Rosnet O, Touret M, Auderbert S, Camoin L, Dussert S, Brouilly N, Thome V, Plumail J, Fortun D, Borg JP, and Kodjabachian L*. An inducible multiciliated cell line resolves proteome dynamics and identifies CDK7 as a conserved regulator. 2026 J. Cell. Biol. DOI: 10.1083/jcb.202506154 

Contact

Camille Boutin
Chercheuse CNRS

Laboratoire

Institut de biologie du développement de Marseille - IBDM (Aix Marseille Université/CNRS)
Parc scientifique de Luminy
163 Avenue Luminy
13009 Marseille